Bugün, 24 Aralık 2025 Çarşamba
  • BIST 100

    14164,11%-0,02
  • DOLAR

    42,83% 0,04
  • EURO

    50,62% 0,52
  • GRAM ALTIN

    6125,18% 0,26
  • Ç. ALTIN

    9975,22% 2,31

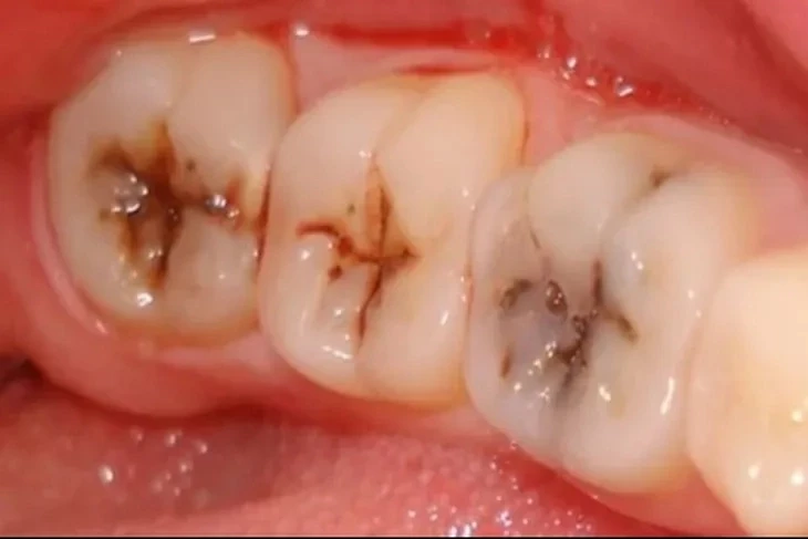
Kola en çok dişlere zarar veriyor

Kola en çok dişlere zarar veriyor

GÜNDEM 21.10.2024 18:00:59 0
Kola en çok dişlere zarar veriyor

Son yıllarda artan kolalı içecek tüketimi, sağlığımız üzerinde ciddi tehditler oluşturuyor. Uzmanlar, özellikle gençler arasında yaygın olan bu alışkanlığın obezite, diyabet ve diş sağlığı problemleri gibi pek çok sağlık sorununa yol açabileceği konusunda uyarıyor.

Reyhan ÖZBAKIR / HERKES DUYSUN

BURSA (İGFA) - Bir kutu kolanın, ortalama 30 gram şeker içerdiğini belirten uzmanlar, bu miktarın bir yetişkinin günlük önerilen şeker alımının neredeyse tamamını karşıladığını belirtiyor. Aşırı şeker tüketiminin insülin direncini artırarak diyabet riskini yükselttiği ve kalp sağlığına zarar verdiği ifade ediliyor.

Uzmanlar, kolalı içeceklerin düzenli tüketiminin vücut kitle indeksini artırarak obeziteye yol açtığını da kaydederken obezitenin yalnızca fiziksel sağlığı etkilemekle kalmadığını, aynı zamanda psikolojik sorunlara ve yaşam kalitesinin düşmesine de neden olduğunu belirtiyor. 

Kolanın en çok dişlere zarar verdiğinin de altını çizen uzmanlar, “Kola ve diğer asidik içecekler, diş minesine zarar vererek çürümelere yol açar. Ayrıca Gençler arasında daha çok tüketilen kolanın geç yaşta diş ömrünü azaltır.” diyor.

Yorum Ekle

Libya Hükümeti 3 gün Milli Yas ilan etti

İletişim Başkanı Duran'dan uçak kazasıyla ilgili detaylı açıklama

İletişim Başkanı Duran’dan uçak kazasıyla ilgili açıklama

Libya: Ankara'daki kazada tüm göstergeler teknik arızayı gösteriyor, ülkede 3 günlük yas ilan edildi

Küçükkuyu’nun gururu Reşat Albayrak

Elazığ Umut Kervanı’ndan muhtaç ailelere yakacak yardımı

Ukrayna ordusu Donetsk’te Siversk’ten çekildi

Kırk yıllık şarkıya muhteşem düet

Libya heyetini taşıyan jet Haymana’da düştü: Enkaza ulaşıldı

Adalet Bakanı Tunç: Haymana’da düşen uçakla ilgili soruşturma başlatıldı

Trump'ın abluka kararına Venezuela'dan sert karşılık

Libya Başbakanı Dibeybe: Genelkurmay Başkanı Al-Haddad ve beraberindekiler hayatını kaybetti

Tarsus otoyolunda kaza: 1 yaralı

Polat: Asgari ücret, artan yaşam maliyetleri karşısında yetersiz

Libya Genelkurmay Başkanı’nı taşıyan jetin enkazına ulaşıldı

Bakan Tunç: Ankara Haymana'daki uçak kazası için 4 savcı görevlendirildi

Konya’da 3.5 büyüklüğünde deprem

Libya Başbakanı Dibeybe'den açıklama geldi

Düşen uçağın enkazına Haymana'da ulaşıldı

Libya Genelkurmay Başkanı'nı taşıyan uçak Ankara'da düştü

CHP’li Karasu: 28 bin TL’lik asgari açlık sınırının altında

Kahramanmaraş’ta 88 yıl hapis cezasıyla aranan hükümlü yakalandı

Suriye'de uyuşturucu operasyonu: 162 bin captagon hapı ele geçirildi

Ankara'dan kalkan Falcon 50 ile irtibat kesildi! Libya Genelkurmay Başkanı ve heyeti de bu uçaktaydı

Manisa'da kırsal mahalle kararı! 17 ilçeyi kapsayan statü onaylandı

Ankara'da özel jetle bağlantı kesildi; Libya Genelkurmay Başkanı'nı taşıyordu!

Beşiktaş, Kadıköy’de 90+1’de güldü! Derbide son sözü Cerny söyledi

Yüzyıllardır devam eden gelenek: Kavurma

Sahada Vefa Rüzgarı: Galatasaray’dan Sarıkamış Şehitlerine Anlamlı Selam!

Arpaçay’da Güvenlik ve Huzur Masaya Yatırıldı: Asayiş Toplantısı Gerçekleştirildi

Yükleniyor

Haberi Sesli Oku

Ahmet Dal’dan Tribünlere Net Mesaj: “Bu Takım Zirve İçin Oynuyor!”

Kaldırın şu taşı bakalım altından ne çıkacak?

TYB Erzurum Şubesinden “aykırı güzel ağabey” için vefa sohbeti

SERKANDAŞ SİGORTA ERZURUM BÜYÜKLER AMATÖR KÜME'DE 4. HAFTA TAMAMLANDI

SAHADA İNANÇ KENARDA EMEK

ASKON Erzurum’da Güvenin ve Üretimin Adresi Oluyor

PENALTILARDA GELEN ŞAMPİYONLUK

ERZURUMSPOR FK ALTYAPISI SAHNEDE: 7 GOL, 2 GALİBİYET

Arif Hikmet Kılıç: “Varsa Yoksa Çat” Diyen Bir Hizmet Anlayışı

DADAŞLARDAN DEPLASMANDA GÜÇ GÖSTERİSİ...

Edirne Keşan'dan kardeş okul projesi kapsamında Bulgaristan'a eğitim ziyareti

Keşanlı 8. sınıf öğrencileri Tüyap Kitap Fuarı'nda

Siirt’te "Genç Sada Kur’an-ı Kerim’i Güzel Okuma ve Hafızlık Yarışması" düzenlendi

Siirt’te öğrencilerin devamsızlığını azaltmaya yönelik eylem planı değerlendirildi

Çocuklara "İyi ki doğ-Muş" ile sürpriz ziyaret

Kocaeli Çayırova’da ‘Mahalle Halkı Afetlere Hazırlık Eğitimi’ programı başladı

Mesleki eğitimde özel uygulamaları Bursa'da masaya yatırıldı

Konya’da öğrenciler mesleğe ilk adımı attı

2026 MSÜ sınavı için başvuru takvimi açıklandı

YÖK’ten lisans eğitiminde köklü değişiklik: Üniversite 3 yılda bitecek

LİG TABLOSU

Takım O G M B Av P
1.GALATASARAY A.Ş. 17 13 1 3 27 42
2.FENERBAHÇE A.Ş. 17 11 0 6 25 39
3.TRABZONSPOR A.Ş. 17 10 2 5 13 35
4.GÖZTEPE A.Ş. 17 9 3 5 12 32
5.BEŞİKTAŞ A.Ş. 17 8 4 5 8 29
6.SAMSUNSPOR A.Ş. 17 6 4 7 2 25
7.RAMS BAŞAKŞEHİR FUTBOL KULÜBÜ 17 6 6 5 9 23
8.KOCAELİSPOR 17 6 6 5 -2 23
9.GAZİANTEP FUTBOL KULÜBÜ A.Ş. 17 6 6 5 -6 23
10.CORENDON ALANYASPOR 17 4 4 9 1 21
11.GENÇLERBİRLİĞİ 17 5 9 3 -3 18
12.ÇAYKUR RİZESPOR A.Ş. 17 4 7 6 -4 18
13.TÜMOSAN KONYASPOR 17 4 8 5 -8 17
14.KASIMPAŞA A.Ş. 17 3 8 6 -10 15
15.HESAP.COM ANTALYASPOR 17 4 10 3 -15 15
16.ZECORNER KAYSERİSPOR 17 2 6 9 -17 15
17.İKAS EYÜPSPOR 17 3 10 4 -14 13
18.MISIRLI.COM.TR FATİH KARAGÜMRÜK 17 2 12 3 -18 9

YAZARLAR